Restorative Dentistry

Top 5 Best Options for Full Mouth Restoration in Charlotte

Premier Dental Team
Top 5 Best Options for Full Mouth Restoration in Charlotte

Full mouth restoration in Charlotte is a transformative dental procedure that combines multiple treatments to restore complete oral health.

Full mouth restoration in Charlotte is a transformative dental procedure that addresses extensive damage, decay, or cosmetic issues throughout the mouth. From enhancing the aesthetics of your smile to improving functionality, full mouth restoration involves various treatments that, when combined, can provide patients with a healthy, radiant smile and renewed confidence.

1. 5 options for full mouth restoration in Charlotte

Full mouth restoration in Charlotte5 options for full mouth restoration in Charlotte

Full mouth restoration combines multiple dental treatments to address the various needs of each patient. Here are the primary options and how they contribute to a successful outcome:

Crowns

Crowns, often called “caps,” cover damaged or weakened teeth, restoring their shape, size, strength, and appearance. Custom-made to match your natural teeth, crowns are ideal for teeth that have been weakened due to decay, fractures, or large fillings. They also play a vital role in restoring the bite and protecting weakened teeth from further damage.

Bridges

Dental bridges fill the gaps left by one or more missing teeth. A bridge typically consists of two or more crowns for the teeth on either side of the gap, anchoring the artificial tooth (or teeth) in between. Bridges are crucial for maintaining the alignment of surrounding teeth, which can shift if gaps remain untreated, potentially leading to bite issues and jaw pain.

Veneers

Veneers are thin shells bonded to the front of teeth, improving appearance by masking discolorations, chips, or gaps. They are often part of a full mouth restoration for those seeking a cosmetic transformation, particularly in the case of stained or misshapen teeth. Custom-crafted to blend seamlessly with natural teeth, veneers enhance the overall symmetry and aesthetic of the smile.

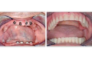
Implants

Dental implants are titanium posts surgically placed into the jawbone, acting as artificial tooth roots. Implants offer a permanent solution for missing teeth, providing stability for crowns or dentures. They are highly durable and help preserve jawbone density, preventing the bone loss often associated with missing teeth.

Orthodontics

For individuals with alignment or bite issues, orthodontic solutions such as braces or clear aligners (like Invisalign) may be part of the restoration plan. By addressing misaligned teeth or improper bites, orthodontics not only improves the appearance of the smile but also supports the longevity of other restorations, as well-aligned teeth are less prone to wear and damage.

2. When Is Full Mouth Reconstruction Needed?

Full mouth restoration is usually advised for individuals who have many dental problems, such as significant tooth wear, widespread decay, or missing teeth. It is also a treatment option for people who suffer from jaw pain, bite misalignment, or diseases such as bruxism (teeth grinding), which causes tooth damage over time. Trauma or incidents involving many teeth may necessitate a full mouth restoration.

Full mouth restoration in CharlotteWhen Is Full Mouth Reconstruction Needed?

3. Timeline for Full Mouth Restoration in Charlotte

The timeline for a full mouth restoration varies based on individual needs. Generally, it spans several months, as each procedure—such as implants, crowns, and orthodontics—requires time for healing and adjustment. Consultation and planning often begin with diagnostic exams, followed by procedures scheduled strategically to optimize healing and results.

Full mouth restoration in CharlotteTimeline for Full Reconstruction

4. Cost of Full Mouth Reconstruction in Charlotte

Costs for full mouth reconstruction vary widely based on the complexity of the case and geographic location. On average, patients can expect to invest between $30,000 and $80,000, with procedures like implants and orthodontics contributing significantly to overall costs. Many practices offer financing options to help manage these expenses.

Full mouth restoration in CharlotteCost of Full Mouth Reconstruction in Charlotte

5. Risks and Considerations before Full Mouth Reconstruction In Charlotte

While full mouth restoration can produce revolutionary effects, it also includes concerns including as infection, implant failure, and discomfort during the healing process. Consulting with an experienced dental expert who can foresee and mitigate these risks is critical to achieving excellent results.

  • Infection: Surgical procedures such as implants pose a risk of infection, especially if post-operative care recommendations are not strictly followed.
  • Implant Failure: Although uncommon, implants can fail owing to insufficient bone density or other problems.
  • Tooth Sensitivity: Some patients may experience sensitivity or discomfort, especially when wearing crowns or veneers.
  • Alignment Issues: Improper alignment after reconstruction might result in bite difficulties, therefore consulting with an experienced specialist is essential.
Full mouth restoration in CharlotteRisks and Considerations before Full Mouth Reconstruction

6. Long-term Care After Reconstruction

Long-term maintenance is required following a full mouth reconstruction in order to preserve the results. The key recommendations include:

  • Brushing and flossing everyday is essential, particularly around restorations.
  • Biannual cleanings and check-ups enable early diagnosis of any problems with crowns, implants, or other restorations.
  • If you have bruxism, a night guard can help protect your teeth from grinding.

After completing a full mouth restoration, diligent oral care is critical. Patients should also avoid habits like chewing on hard objects, as these can damage restorations over time.

Full mouth restoration in CharlotteLong-term Care After Reconstruction

7. How to Prepare for Reconstruction

Patients should communicate their goals and concerns with their dentist, discuss any medical conditions, and understand the entire process, from timeline to costs and post-procedure care. Preparation for full mouth reconstruction involves multiple steps:

  • A comprehensive dental exam involves X-rays, 3D imaging, and models to evaluate the mouth’s structure.
  • Patients should address any health issues or drugs that may affect treatment.
  • Understanding the duration, costs, and commitment required can help a patient achieve success.

Examining case studies provides insights into how various restoration techniques come together. For instance, a patient with severe wear due to bruxism may require crowns and orthodontics, while someone with multiple missing teeth might benefit from implants and bridges. Each case illustrates unique approaches tailored to individual needs.

Full mouth restoration in CharlotteHow to Prepare for Reconstruction

8. Post-Procedure Success Stories

Many patients describe life-changing outcomes following complete mouth repair. Success tales frequently highlight increased self-confidence, enhanced chewing and speaking ability, and general pleasure with aesthetic and structural enhancements.

Success tales from full mouth restoration patients frequently emphasize the procedure’s life-changing influence.

  • Improved Self-Confidence: Many patients report feeling more confident in their smile, which leads to better social and professional relationships.
  • Enhanced Oral Functionality: Many patients report greater chewing abilities after having their teeth repaired, which leads to better nutrition and digestion.
  • Long-lasting Results: Patients who commit to long-term maintenance see results that persist for years, demonstrating the importance of investing in comprehensive dental care.
Full mouth restoration in CharlottePost-Procedure Success Stories

Full mouth restoration in Charlotte offers transformative benefits, including improved oral function, enhanced aesthetics, and increased self-confidence. Contact Premier Dental to start your transformation. See our before and after gallery for real results. By addressing issues like missing, damaged, or misaligned teeth, this comprehensive approach helps restore a natural, healthy smile, allowing better chewing, speech, and long-term dental health.

Have Questions About Restorative Dentistry?

Our experienced team at Premier Dental is ready to help you with personalized care and expert guidance.